印度发现双重突变新型变异新冠病毒,变异后的病毒具有弱化免疫效果和传染性更强的特性。
一:印度新型变异病毒印度卫生部发声明称,在印度的马哈拉施特拉邦发现了一种新型变异新冠病毒 ,该毒株出现了双重突变,分别是E484Q和L452R突变,其特征不同于已经发现的毒株 ,可能具有弱化免疫效果和传染性更强的特性 。印度的每日新增确诊病例数不断增加,印度新冠肺炎累计确诊病例数已超过1170万例,累计死亡病例超过16万例。
二:新冠疫苗新冠病毒是一种新发现的传染病毒 ,所有人的体内几乎都没有相应的病毒抗体,造成新冠病毒很容易在人群中快速传播,而且全球范围内还没有能对新冠肺炎有效的治疗手段。接种新冠病毒疫苗之后 ,会在体内不断产生新冠病毒的抗体,一旦新冠病毒进入体内,抗体就能及时发现并将其消灭 ,防止新冠病毒通过空气呼吸不断传染给其他人,只有社会上大多数人有抗体,才能形成有效的群体免疫屏障,防止出现群体感染新冠病毒的事件 ,接种新冠疫苗成为了最有效预防感染新冠病毒的方法 。根据数字模型计算,我国需要至少70%的人口完成新冠疫苗接种,才能基本形成有效的群体免疫屏障 ,新冠病毒疫苗经过严格的临床实验之后才上市接种,相关数据已表明新冠疫苗具有一定的安全性和有效性,出现不良反应的概率极小 ,为了长远的利益着想,我们应当及时完成新冠疫苗的接种。
三:日常防疫措施在完成大规模新冠疫苗接种形成有效的群体免疫屏障之前,我们仍有感染新冠病毒的风险 ,日常防疫措施仍需继续保持,应做到出门戴口罩,勤洗手多通风 ,尽量不去人群密集的场所,一旦发现有感染新冠病毒的症状,应及时就医并如实上报。世界多地发现了变异的新冠病毒,变异后的新冠病毒具有更强的传染力 ,更容易造成群体感染事件,国内的新冠病毒疫情虽然得到有效控制,但仍面临境外输入的巨大风险 ,所以机场海关等部门应加强对外来人员的核酸检测和隔离管控,对进口货物进行完全消毒后才可以放行 。全球的新冠病毒疫情形势仍十分严峻,防疫措施一旦有所松懈 ,新冠病毒将会卷土重来。
目前,在印度流行的“双突变”病毒,也是引起了高度的关注。不过 ,因为目前相关的研究还十分有限,这些新变化与变异病毒的关系,目前还不能完全确定 。
一些印度医生在接受媒体采访时说 ,他们注意到近期的新冠病人出现了一定的新症状,例如有:腹泻,腹痛,皮疹 ,结膜炎,意识模糊,甚至还有患者会口鼻流血。新一轮疫情中的患者也出现呼吸困难加剧和重症人群年轻化的趋势。
印度20名新冠患者从护理中心逃跑

近日 ,印度马哈拉施特拉邦有多达20名新冠患者从一家护理中心逃跑 。当地警方已经立案调查。
据《印度教徒报》25日报道,这起事件发生在马哈拉施特拉邦的亚瓦特马尔区。卫生官员普拉姆表示,23日 ,当地组织进行新冠核酸检测,19名检测结果呈阳性的村民被送进了护理中心。但在4月24日上午8点左右,这19名新冠感染者外加另一名新冠住院患者逃出了这一医疗机构 。目前 ,警方已经立案,正在全力追踪这些病人的下落。
针对这一情况,有官员担心地表示:“如果这种情况再次发生 ,就会有更多的人感染新冠病毒。 ”据悉,当地将成立委员会对此事展开调查 。
以上内容参考中国青年网—腹泻、皮疹、口鼻流血,印度新冠患者出现新症状
这种病毒的危害性在于传染性非常强。
印度所发现的变异毒株就是新冠病毒的变异毒株,名字叫奥密克戎毒株。在印度出现两个确诊病例之前 ,全球各地的33个国家和地区已经出现了确诊病例 。从某种程度上来说,奥密克戎毒株将会进一步影响到全球各地的经济发展和供应链问题。
一、这个事情是怎么回事?
这个事情是关于奥密克戎毒株的新闻,印度地区正式发现了奥密克戎毒株做感染病例。在此之后 ,奥密克戎毒株已经进一步影响到了南亚地区 。我们都知道奥密克戎毒株首先在南非被发现,即便全球各国已经执行了严格的疫情防控措施,有些地方甚至已经限制了外国人口流入 ,但这样的措施依然没有办法阻止奥密克戎毒株的传播。
二、这种病毒的危害性在于传染性非常强。
奥密克戎毒株并没有我们想象中那么可怕,因为新冠病毒的变异毒株的危害并不在于本身的致命性,而在于其强大的传播性 。从某种程度上来说 ,奥密克戎毒株相比于德尔塔会有更强的传染能力,同时也会以更快的速度传染到全球各地。
三 、这会进一步引起各个地区的经济问题和供应链问题。
之所以会这样说,主要是因为很多地方已经饱受新冠病毒的影响。在新冠病毒已经持续了两年时间之后 ,全球各国本身以为德尔塔已经是新冠病毒的最后一波侵袭了,谁也没有想到奥密克戎毒株会突然爆发 。奥密克戎毒株会直接影响到全球各地的经济发展,经济发展的问题也会直接影响到全球的供应链问题。在这样的情况之下,有些国家和地区的生活情况可能会越来越糟糕 ,这是摆在很多国家面前的首要难题。
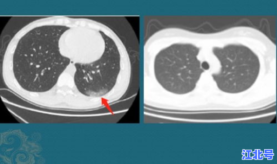
根据中国疾控中心发布的消息,经过基因组测序的检验,这3人感染的病毒均为印度地区流行的变异病毒 ,所以该变异病毒很可能来自印度 。
近日,有三名回国人员从重庆入境时被检测出了新冠病毒,再一次敲响了我国防止输入型新冠病毒的警钟 ,根据中国疾控中心发布的消息,这三人感染的病毒均为印度流行的变异病毒,三人在旅途过程中有做好防护 ,在印度的多次核酸检测结果均为阴性,也没有体温的异常,但胸部CT的结果显示出了感染性病变 ,因此被确诊为新冠病例。
尽量不要去危险地区
为了自身以及家人的安全,也为了国内环境的稳定,一般尽量不要去国外出差或旅行,特别是去一些高风险的地区 ,当今全球的疫情形势仍然十分严峻,不胡乱走动就是对疫情防控最好的帮助。
回国应自我隔离14天
回国人员入境之后,应该自觉地自我隔离14天 ,以观察自身的健康状况是否有变,不应该抱有侥幸的心理,觉得通过了一次检测之后就万事大吉 ,很多被感染新冠的人一开始的症状都不明显,要经过一段时间症状才能显现,假如一个新冠病毒的携带者在症状不明显时四处活动 ,那么将会对其家人、同事以及许许多多无辜的人的健康造成危险 。
日常仍需做好防护
虽然现在国内的疫情形势较为稳定,但每个人在日常生活中仍需注意做好防护,特别是生活在一些较为发达地区的人 ,俗话说得好不怕一万就怕万一,一旦感染新冠病毒,对自己的家人 、工作和生活都将造成很大的影响,与其承担这样的风险 ,不如在日常生活中尽量地做好防护,自觉戴好口罩、勤洗手。
9月26日甲型H1N1流感疫情今年在印度卷土重来。根据印度卫生和家庭福利部公布的最新数据,今年以来印度全国共报告34009例甲型H1N1流感病例 ,其中1741人死亡 。
据印度媒体26日援引卫生和家庭福利部的数据,甲型H1N1流感死亡人数最多的是马哈拉施特拉邦,共568人死亡;其次是古吉拉特邦 ,413人死亡。这两个邦的感染人数分别为5191人和6994人。数据还显示,截至目前,印度首都新德里确诊2755人感染甲型H1N1流感病毒 ,其中16人死亡 。
据报道,今年甲型H1N1流感病例数量已快接近疫情最严重的2015年病例总数。根据官方公布的数据,印度2015年共报告约4.2万例甲型H1N1流感病例 ,其中近3000人死亡;而2016年共报告1786例病例,其中265人死亡。
据印卫生部门官员介绍,印政府已成立应急小组前往马哈拉施特拉邦调查。当地医生怀疑,甲型H1N1流感病毒可能已经变异 。这种病毒最初通过动物传播 ,现在则由人向人传播。
甲型H1N1流感病毒通常在冬季或雨季后开始传播。马哈拉施特拉邦当地医生对今年疫情提前暴发感到担忧,他们希望国家疾病控制中心尽快查明原因,及时采取应急措施 。他们认为 ,人们在患病后没有及时去医院治疗是死亡人数上升的主要原因,如果症状出现后能及时就医服药,可挽救许多生命。
甲型H1N1流感是一种急性 、传染性呼吸器官疾病 ,其症状为突发咳嗽、呼吸困难、发热等。这种流感病毒传染性很高,秋冬季属高发期,可全年传播 。
希望科学能治疗这些变异的病毒。